Вопрос о возрасте, с которого разрешено покупать и употреблять алкоголь, является актуальным для многих людей, особенно для молодежи и их родителей. В России законодательство четко регламентирует, с какого возраста можно приобретать алкогольные напитки, а также устанавливает ответственность за продажу алкоголя несовершеннолетним. Эта статья поможет разобраться в правовых аспектах, связанных с покупкой и употреблением алкоголя, а также осветит важные моменты, касающиеся здоровья и безопасности молодежи.
Закон в борьбе с алкоголизмом
Законодательство России направлено на борьбу с алкоголизмом и защиту молодежи от негативных последствий употребления спиртных напитков. Одним из ключевых аспектов этой борьбы является ограничение доступа несовершеннолетних к алкоголю. В соответствии с действующим законодательством, продажа алкогольных напитков лицам, не достигшим 18-летнего возраста, строго запрещена. Это правило распространяется на все виды алкогольной продукции, включая пиво, вино и крепкие напитки.
Запрет на продажу алкоголя несовершеннолетним обусловлен множеством факторов, включая высокие риски развития зависимости и негативного влияния на здоровье подростков. Исследования показывают, что употребление алкоголя в юном возрасте может привести к серьезным проблемам, таким как нарушения в работе органов и систем, а также к психическим расстройствам. Поэтому законодатели стремятся минимизировать доступ молодежи к спиртным напиткам.
Кроме того, существует ряд мер, направленных на контроль за соблюдением этого запрета. Например, продавцы обязаны требовать документы, подтверждающие возраст покупателя, и в случае нарушения правил могут столкнуться с серьезными последствиями, включая штрафы и даже уголовную ответственность. Это создает дополнительные барьеры для несовершеннолетних, пытающихся приобрести алкоголь.
Таким образом, закон в борьбе с алкоголизмом в России направлен на защиту молодежи и предотвращение негативных последствий, связанных с употреблением спиртных напитков. Важно, чтобы как молодежь, так и их родители осознавали серьезность этих ограничений и принимали ответственные решения относительно употребления алкоголя.
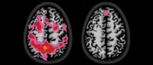
Эксперты в области здравоохранения и психологии единодушны в том, что возраст, в котором разрешено покупать и употреблять алкоголь, играет ключевую роль в формировании привычек и здоровья молодежи. Многие исследователи подчеркивают, что мозг человека продолжает развиваться до 25 лет, и раннее употребление алкоголя может негативно сказаться на когнитивных функциях и эмоциональном состоянии. Кроме того, эксперты отмечают, что легкий доступ к алкоголю в подростковом возрасте может привести к злоупотреблению и зависимостям в будущем. Поэтому они рекомендуют устанавливать возрастной порог не ниже 21 года, чтобы дать молодым людям возможность развиваться и принимать осознанные решения о своем здоровье и благополучии.
https://www.youtube.com/embed/i30tGoStXlw
Какой алкоголь нельзя продавать несовершеннолетним в России
Несовершеннолетним в России запрещено продавать алкогольные напитки, содержащие более 0,5% этилового спирта. Это правило охватывает широкий спектр продукции, включая пиво, вино и крепкие спиртные напитки. Основная цель этого ограничения — защита здоровья молодежи и предотвращение раннего алкоголизма.
К числу алкогольных напитков, которые нельзя продавать несовершеннолетним, относятся:
- Крепкие напитки — это все виды алкоголя, содержащие более 20% спирта, такие как водка, коньяк, ром и виски.
- Вино — хотя вино имеет меньшую крепость, его продажа также запрещена лицам, не достигшим 18-летнего возраста.
- Пиво — несмотря на то, что пиво часто воспринимается как «легкий» алкогольный напиток, его продажа несовершеннолетним также подлежит запрету.
Законодательство направлено на то, чтобы минимизировать доступ молодежи к алкоголю, так как употребление спиртных напитков в раннем возрасте может привести к серьезным последствиям для здоровья, включая физическую и психологическую зависимость. Кроме того, продажа алкоголя несовершеннолетним влечет за собой административную ответственность для продавцов и владельцев торговых точек, что также служит сдерживающим фактором.
| Страна/Регион | Минимальный возраст для покупки алкоголя | Минимальный возраст для употребления алкоголя |
|---|---|---|
| США | 21 | 21 |
| Великобритания | 18 | 18 |
| Россия | 18 | 18 |
| Франция | 18 | 18 |
| Германия | 18 | 18 |
| Канада | 18-19 (варьируется по провинциям) | 18-19 (варьируется по провинциям) |
| Австралия | 18 | 18 |
| Япония | 20 | 20 |
| Мексика | 18 | 18 |
| Бразилия | 18 | 18 |
Интересные факты
Вот несколько интересных фактов о возрасте, с которого разрешено покупать и употреблять алкоголь в разных странах:
-
Разные возрастные ограничения: В большинстве стран мира минимальный возраст для покупки и употребления алкоголя варьируется от 18 до 21 года. Например, в США минимальный возраст составляет 21 год, тогда как в большинстве европейских стран, таких как Германия и Франция, он составляет 16 или 18 лет для пива и вина.
-
Культурные различия: В некоторых странах, таких как Италия и Испания, алкоголь часто употребляется в рамках семейных обедов и праздников с раннего возраста. В этих культурах акцент делается на умеренность и социальное употребление, что может способствовать более ответственному отношению к алкоголю.
-
Изменения в законодательстве: В последние десятилетия в некоторых странах наблюдается тенденция к изменению возрастных ограничений. Например, в некоторых штатах США обсуждаются инициативы по снижению минимального возраста для употребления алкоголя в определённых условиях, таких как употребление в ресторанах под присмотром взрослых, что отражает изменения в общественном восприятии алкоголя и его роли в культуре.

Когда рекомендуется начинать пить
Когда речь идет о начале употребления алкоголя, важно учитывать не только законодательные ограничения, но и физиологические и психологические аспекты. Специалисты в области медицины и психологии рекомендуют подходить к этому вопросу с осторожностью.
Исследования показывают, что раннее употребление алкоголя может привести к серьезным последствиям для здоровья. У подростков, чья нервная система еще формируется, алкоголь может вызвать нарушения в развитии мозга, что в дальнейшем может сказаться на когнитивных функциях и эмоциональном состоянии. Поэтому многие эксперты советуют начинать употребление алкоголя не ранее 18 лет, когда организм уже более устойчив к его воздействию.
Кроме того, важно учитывать культурные и социальные аспекты. В некоторых странах существует традиция употребления алкоголя в семейном кругу с 16-17 лет, что может способствовать более ответственному отношению к этому процессу. Однако в России, где алкогольная культура имеет свои особенности, рекомендуется избегать употребления спиртного в подростковом возрасте, чтобы не формировать зависимость и не подвергать себя риску.
Также стоит отметить, что важно не только когда, но и как пить. Употребление алкоголя должно быть осознанным и контролируемым, чтобы избежать негативных последствий как для здоровья, так и для социальной жизни. Важно помнить, что алкоголь не является средством для решения проблем или способом снятия стресса.
Таким образом, подход к началу употребления алкоголя должен быть взвешенным и осознанным, с акцентом на здоровье и безопасность.
Другие проблемы
Алкогольная зависимость и ее последствия – это одна из самых серьезных проблем, с которой сталкивается общество. Молодежь, находясь в поиске своего места в жизни, часто оказывается под воздействием сверстников и рекламы, что может привести к преждевременному употреблению спиртных напитков. Важно понимать, что алкоголь негативно влияет на здоровье, особенно на развивающийся организм подростка.
Кроме того, употребление алкоголя в юном возрасте может привести к различным социальным и психологическим проблемам. Подростки, которые начинают пить в раннем возрасте, чаще сталкиваются с трудностями в учебе, могут иметь проблемы с поведением и взаимодействием с окружающими. Это также может привести к правонарушениям, так как алкоголь снижает уровень самоконтроля и может спровоцировать рискованное поведение.
Не менее важным аспектом является влияние алкоголя на психическое здоровье. Исследования показывают, что раннее употребление спиртного может стать триггером для развития различных психических расстройств, таких как депрессия и тревожные расстройства. Это подчеркивает необходимость обсуждения проблемы алкоголизма среди молодежи и формирования ответственного отношения к алкоголю.
В дополнение к этому, стоит отметить, что существует и экономический аспект проблемы. Алкогольная зависимость приводит к значительным затратам на лечение и реабилитацию, а также к потерям в производительности труда. Общество в целом несет бремя этих расходов, что подчеркивает важность профилактических мероприятий и образования по вопросам употребления алкоголя среди молодежи.
Таким образом, проблема употребления алкоголя несовершеннолетними требует комплексного подхода, включающего как законодательные меры, так и образовательные программы, направленные на формирование здорового образа жизни и осознание последствий употребления спиртного.

Что говорит законодательство
В России законодательство о продаже и употреблении алкоголя строгое и направлено на защиту несовершеннолетних. Согласно действующим законам, продажа алкогольных напитков разрешена только лицам, достигшим 18-летнего возраста. Это правило касается всех видов алкогольной продукции, включая пиво, вино и крепкие напитки. Таким образом, любой, кто не достиг этого возраста, не имеет права на законное приобретение алкоголя.
Несмотря на строгие ограничения, существует возможность приобрести алкоголь до 18-ти лет в некоторых случаях, например, если речь идет о специальных мероприятиях или праздниках, где разрешено употребление алкоголя под контролем взрослых. Однако такие ситуации являются исключением и не должны восприниматься как норма.
Нарушение законодательства о продаже алкоголя несовершеннолетним влечет за собой серьезные последствия. Продавцы, которые игнорируют правила, могут столкнуться с административной ответственностью, включая штрафы и даже приостановление лицензии на продажу алкогольной продукции. Также предусмотрены меры наказания для лиц, которые способствуют продаже алкоголя несовершеннолетним, что подчеркивает важность соблюдения закона.
В последние годы в обществе активно обсуждаются возможные изменения в законодательстве, касающиеся возраста, с которого разрешено употребление алкоголя. Некоторые эксперты и общественные организации выступают за повышение минимального возраста до 21 года, ссылаясь на исследования, подтверждающие негативное влияние алкоголя на здоровье молодежи. Однако такие инициативы требуют серьезного обсуждения и анализа, прежде чем будут приняты окончательные решения.
Возможность приобрести алкоголь до 18-ти лет
В России законодательно установлен возраст, с которого разрешено приобретать алкогольные напитки — это 18 лет. Однако существуют определенные обстоятельства, при которых несовершеннолетние могут получить доступ к алкоголю до достижения этого возраста. Например, в некоторых случаях алкоголь может быть приобретен в рамках культурных или образовательных мероприятий, где его употребление предусмотрено программой. Тем не менее, такие ситуации крайне редки и требуют строгого контроля со стороны организаторов.
Важно отметить, что в большинстве случаев продажа алкоголя лицам младше 18 лет является незаконной. Продавцы обязаны требовать документы, подтверждающие возраст покупателя, и в случае отказа от проверки могут столкнуться с серьезными последствиями. В случае выявления фактов продажи алкоголя несовершеннолетним, предусмотрены штрафы и другие меры ответственности для продавцов и владельцев торговых точек.
Несмотря на строгие законы, проблема доступа несовершеннолетних к алкоголю остается актуальной. В некоторых регионах России наблюдается увеличение случаев, когда подростки покупают алкогольные напитки через знакомых или на черном рынке. Это подчеркивает необходимость более активной работы правоохранительных органов и общественных организаций по контролю за продажей алкоголя и просвещению молодежи о вреде алкоголизма.
Таким образом, хотя закон четко определяет возрастные ограничения на покупку алкоголя, реальность часто оказывается сложнее, и важно продолжать работу по защите молодежи от негативных последствий употребления спиртных напитков.
Последствия нарушившим закон
Нарушение закона о продаже алкоголя несовершеннолетним влечет за собой серьезные последствия как для продавцов, так и для самих несовершеннолетних. Прежде всего, для продавцов существует административная ответственность. В случае выявления факта продажи алкоголя лицам, не достигшим 18 лет, на продавца может быть наложен штраф. Размер штрафа варьируется в зависимости от региона и может достигать значительных сумм. Кроме того, в некоторых случаях возможно приостановление лицензии на продажу алкогольных напитков.
Для несовершеннолетних, которые были пойманы за покупкой или употреблением алкоголя, последствия могут быть не менее серьезными. Они могут столкнуться с административной ответственностью, которая включает в себя штрафы или предупреждения. Важно отметить, что такие ситуации могут негативно сказаться на репутации подростка, а также повлиять на его дальнейшую жизнь, включая учебу и карьеру.
Кроме того, употребление алкоголя в молодом возрасте может привести к серьезным проблемам со здоровьем. Исследования показывают, что алкоголь негативно влияет на развитие мозга, что может привести к когнитивным нарушениям и зависимостям. Важно помнить, что здоровье молодежи должно быть в приоритете, и соблюдение законов о продаже алкоголя — это один из способов защитить их от потенциальных рисков.
Каких ждать изменений
В последние годы в России наблюдается тенденция к ужесточению законодательства в области продажи и употребления алкогольных напитков. Это связано с растущей обеспокоенностью общества по поводу алкоголизма, особенно среди молодежи. Ожидается, что в ближайшее время могут быть введены новые ограничения, направленные на защиту несовершеннолетних от негативных последствий употребления алкоголя.
Одним из возможных изменений является повышение возраста, с которого разрешено приобретать алкоголь. В некоторых странах уже существует практика, когда продажа спиртных напитков разрешена только с 21 года. В России также обсуждаются подобные инициативы, которые могут быть направлены на снижение доступности алкоголя для молодежи.
Кроме того, планируется усиление контроля за продажей алкоголя через интернет. С каждым годом все больше людей предпочитают заказывать товары онлайн, и это касается не только продуктов, но и алкогольных напитков. В связи с этим, могут быть введены дополнительные меры по проверке возраста покупателей, чтобы предотвратить продажу алкоголя несовершеннолетним.
Также стоит ожидать более строгих санкций для продавцов, нарушающих закон. В случае выявления фактов продажи алкоголя несовершеннолетним, могут быть предусмотрены более серьезные штрафы и другие меры ответственности. Это должно стать стимулом для торговых точек более ответственно подходить к вопросу продажи спиртного.
Таким образом, изменения в законодательстве могут затронуть как возрастные ограничения, так и контроль за продажей алкоголя, что в конечном итоге направлено на защиту здоровья молодежи и снижение уровня алкоголизма в обществе.
Где нельзя продавать спиртное
В России существуют строгие ограничения на продажу алкогольных напитков в определенных местах. Эти меры направлены на защиту здоровья населения, особенно молодежи, и предотвращение злоупотребления алкоголем.
Алкоголь нельзя продавать в образовательных учреждениях, таких как школы и университеты. Это правило распространяется как на самих учащихся, так и на их родителей и сотрудников. Также запрещена продажа спиртного в медицинских учреждениях, что связано с необходимостью поддержания здоровья пациентов и предотвращения негативного влияния алкоголя на лечение.
Кроме того, существуют ограничения на продажу алкоголя в общественном транспорте и на его территории. Это правило касается как пассажиров, так и работников транспортной сферы. Запрет на продажу алкоголя также действует в местах массовых мероприятий, таких как спортивные соревнования, концерты и фестивали, где присутствует большое количество людей, что может привести к нарушениям общественного порядка.
В некоторых регионах России действуют дополнительные ограничения, касающиеся продажи алкоголя вблизи детских площадок, парков и других мест, где собираются семьи с детьми. Эти меры направлены на создание безопасной и здоровой среды для подрастающего поколения.
Важно отметить, что соблюдение этих правил контролируется местными органами власти, и за их нарушение предусмотрены штрафы и другие санкции для продавцов. Таким образом, законодательство России стремится минимизировать доступность алкоголя для несовершеннолетних и создать условия для безопасного и здорового образа жизни.
Распространённый вопрос о продаже алкоголя с 18 или 21
Вопрос о том, с какого возраста разрешено продавать алкоголь, часто вызывает споры и недоумение. В России на данный момент законодательно установлено, что продажа алкогольных напитков разрешена только с 18 лет. Однако в обществе существует мнение о возможности повышения этого возраста до 21 года, что связано с заботой о здоровье молодежи и снижением уровня алкоголизма среди подростков.
Сторонники повышения возраста продажи алкоголя утверждают, что в возрасте 18 лет молодые люди все еще находятся в процессе формирования как физически, так и психологически. Они считают, что алкоголь может негативно сказаться на здоровье и развитии подростков, а также привести к формированию вредных привычек. В некоторых странах, таких как США, действительно установлен возрастной порог в 21 год, что позволяет снизить уровень потребления алкоголя среди молодежи.
С другой стороны, противники повышения возраста продажи алкоголя указывают на то, что молодые люди в 18 лет уже имеют право голосовать, служить в армии и нести ответственность за свои действия. Они считают, что ограничение в продаже алкоголя может привести к его потреблению в неформальной обстановке, что, в свою очередь, может быть более опасным.
Таким образом, вопрос о том, с какого возраста можно продавать алкоголь, остается открытым и требует дальнейшего обсуждения. Общество должно найти баланс между защитой здоровья молодежи и правами молодых людей, которые уже достигли совершеннолетия.
Куда обратится для того, чтобы восстановить справедливость
Если вы столкнулись с ситуацией, когда вам или вашему ребенку было отказано в продаже алкоголя по причине несовершеннолетия, или если вы стали свидетелем продажи алкоголя несовершеннолетним, важно знать, куда можно обратиться для восстановления справедливости.
Первым шагом может стать обращение в местные органы власти, такие как администрация района или города. Они могут помочь разобраться в ситуации и принять меры к нарушителям. Также можно обратиться в Роспотребнадзор, который отвечает за контроль за соблюдением законодательства в сфере торговли, включая продажу алкогольной продукции.
Если вы стали свидетелем нарушения, вы можете написать заявление в полицию. Важно зафиксировать все детали инцидента: время, место, описание продавца и покупателя, а также любые другие обстоятельства, которые могут помочь в расследовании.
Кроме того, существуют горячие линии и специальные организации, которые занимаются защитой прав потребителей и контролем за соблюдением законодательства в области продажи алкоголя. Обращение в такие организации может помочь привлечь внимание к проблеме и инициировать проверку.
Не стоит забывать и о возможности обратиться в суд, если ваши права были нарушены. Это может быть актуально в случае, если вы столкнулись с систематическими нарушениями или бездействием со стороны органов власти.
Важно помнить, что соблюдение законодательства о продаже алкоголя несовершеннолетним — это не только вопрос правопорядка, но и заботы о здоровье и безопасности молодежи.
Ограничения
Ограничения на продажу алкоголя в России касаются не только возраста покупателей, но и ряда других факторов, которые регулируются законодательством.
Возрастные ограничения подразумевают, что продажа алкогольных напитков разрешена только лицам, достигшим 18 лет. Это правило касается всех видов алкогольной продукции, включая пиво, вино и крепкие напитки. Таким образом, несовершеннолетние не имеют права на покупку и употребление алкоголя, что направлено на защиту их здоровья и предотвращение негативных последствий, связанных с ранним употреблением спиртного.
Временные ограничения также играют важную роль в регулировании продажи алкоголя. В большинстве регионов России существуют определенные часы, в которые продажа спиртных напитков запрещена. Например, в некоторых городах алкоголь нельзя продавать с 22:00 до 10:00. Эти меры направлены на снижение потребления алкоголя в вечернее и ночное время, что может способствовать уменьшению правонарушений и улучшению общественной безопасности.
Дни запрета на продажу алкоголя также установлены в законодательстве. В России существуют определенные праздники и дни, когда продажа спиртного полностью запрещена. К таким дням относятся, например, дни траура, а также некоторые религиозные праздники. Это делается для того, чтобы предотвратить злоупотребление алкоголем в такие важные моменты.
Территориальные ограничения касаются мест, где запрещена продажа алкоголя. Например, вблизи образовательных учреждений, больниц и спортивных объектов часто устанавливаются зоны, где продажа спиртного запрещена. Это необходимо для защиты молодежи и создания безопасной среды.
С развитием технологий и интернет-торговли возникли новые вопросы, касающиеся продажи алкоголя через интернет. В России также действуют строгие правила, регулирующие онлайн-продажу алкогольной продукции. Лица, желающие приобрести алкоголь через интернет, должны подтвердить свой возраст, и доставка алкоголя несовершеннолетним запрещена.
Региональные ограничения могут варьироваться в зависимости от местного законодательства. Некоторые регионы могут вводить дополнительные меры по ограничению продажи алкоголя, основываясь на специфических потребностях и проблемах своего населения. Это может включать как дополнительные временные ограничения, так и запреты на продажу определенных видов алкоголя.
Таким образом, система ограничений на продажу алкоголя в России направлена на защиту здоровья населения, особенно молодежи, и создание безопасной социальной среды.
Возрастные
Возрастные ограничения на продажу алкоголя в России четко определены законодательством. На данный момент, согласно Федеральному закону, продажа алкогольных напитков разрешена только лицам, достигшим 18 лет. Это правило распространяется на все виды алкогольных изделий, включая пиво, вино и крепкие напитки.
Данная мера направлена на защиту молодежи от негативных последствий, связанных с употреблением алкоголя в раннем возрасте. Исследования показывают, что употребление спиртного до 18 лет может привести к серьезным проблемам со здоровьем, включая зависимость, нарушения в развитии и психические расстройства.
Кроме того, важно отметить, что существуют и дополнительные ограничения, касающиеся продажи алкоголя в определенных местах и в определенные часы. Например, в некоторых регионах России могут действовать свои правила, которые устанавливают более строгие возрастные ограничения или временные рамки для продажи спиртного.
Таким образом, соблюдение возрастных ограничений является важным шагом в борьбе с алкоголизмом и защитой здоровья подрастающего поколения.
Временные
Временные ограничения на продажу алкоголя в России также играют важную роль в регулировании потребления спиртных напитков. В большинстве регионов страны существуют определенные часы, в которые продажа алкоголя запрещена. Обычно это касается вечерних и ночных часов, чтобы минимизировать риск злоупотребления алкоголем и связанных с этим правонарушений.
Например, в некоторых городах продажа алкоголя может быть запрещена с 22:00 до 10:00 следующего дня. Такие меры направлены на снижение уровня преступности и поддержание общественного порядка, особенно в ночное время, когда вероятность конфликтов и правонарушений возрастает.
Кроме того, в праздничные дни могут вводиться дополнительные ограничения на продажу алкоголя. Это делается для того, чтобы предотвратить чрезмерное употребление спиртного в дни массовых гуляний и празднований, что может привести к негативным последствиям как для здоровья граждан, так и для общественной безопасности.
Важно отметить, что временные ограничения могут варьироваться в зависимости от региона, поэтому гражданам рекомендуется ознакомиться с местными законами и правилами, касающимися продажи алкоголя. Это поможет избежать неприятных ситуаций и штрафов, связанных с нарушением законодательства.
Дни запрета
В России существуют определенные дни, когда продажа алкогольных напитков запрещена. Эти ограничения вводятся для снижения потребления алкоголя в определенные праздники и события, когда риск злоупотребления возрастает. Например, в дни траура, а также в некоторые религиозные праздники, такие как Великий пост, продажа алкоголя может быть ограничена или полностью запрещена.
Кроме того, в некоторых регионах могут действовать свои местные законы, касающиеся запрета на продажу алкоголя в определенные дни. Это может включать, например, выборы, когда власти стремятся предотвратить возможные нарушения общественного порядка.
Важно отметить, что такие ограничения могут варьироваться в зависимости от региона, поэтому жителям стоит ознакомиться с местными законами и правилами. Нарушение этих запретов может повлечь за собой штрафы как для продавцов, так и для покупателей, что подчеркивает серьезность подхода к контролю за продажей алкоголя в стране.
Территориальные
Территориальные ограничения на продажу алкоголя в России также играют важную роль в регулировании доступа молодежи к спиртным напиткам. В некоторых регионах страны существуют дополнительные правила, которые могут ограничивать или полностью запрещать продажу алкоголя в определённых местах. Например, вблизи учебных заведений, спортивных объектов и медицинских учреждений часто устанавливаются зоны, где продажа алкоголя запрещена. Это делается для того, чтобы защитить молодежь от негативного влияния алкоголя и создать более безопасную среду для обучения и здоровья.
Кроме того, некоторые города и области могут вводить свои собственные ограничения, исходя из местных традиций и культурных особенностей. Например, в некоторых регионах могут быть дни, когда продажа алкоголя полностью запрещена, такие как праздники или дни траура. Это также может касаться определённых временных промежутков, когда продажа алкоголя ограничена, например, в ночное время.
Важно отметить, что соблюдение территориальных ограничений контролируется местными органами власти, и за их нарушение могут быть предусмотрены штрафы как для продавцов, так и для покупателей. Таким образом, территориальные ограничения служат дополнительным инструментом в борьбе с алкоголизмом и помогают снизить доступность спиртных напитков для несовершеннолетних.
Через интернет
Согласно действующему законодательству, продажа алкоголя через интернет также подчиняется строгим правилам. В России запрещено продавать алкогольные напитки несовершеннолетним, и это правило распространяется на все каналы сбыта, включая онлайн-магазины. Для того чтобы купить алкоголь через интернет, покупателю необходимо подтвердить свой возраст. Обычно это делается с помощью системы идентификации, которая требует указания паспортных данных или других документов, подтверждающих, что покупатель достиг 18-летнего возраста.
Однако, несмотря на существующие ограничения, случаи продажи алкоголя несовершеннолетним через интернет не редкость. Это связано с тем, что некоторые интернет-магазины могут не соблюдать законодательство или использовать неэффективные методы проверки возраста. В результате, подростки могут легко обойти эти барьеры и получить доступ к алкогольным напиткам.
Для борьбы с этой проблемой, государственные органы активно работают над улучшением контроля за онлайн-продажами алкоголя. Внедряются новые технологии, позволяющие более эффективно проверять возраст покупателей, а также усиливаются меры ответственности для интернет-магазинов, которые нарушают закон. Важно отметить, что родители и опекуны должны быть внимательны и контролировать, какие сайты посещают их дети, чтобы предотвратить возможные нарушения.
Региональные
Региональные ограничения на продажу алкоголя в России могут варьироваться в зависимости от конкретного региона или муниципалитета. В некоторых субъектах федерации могут быть установлены более строгие правила, чем те, которые прописаны на федеральном уровне. Например, в некоторых областях могут действовать ограничения по времени продажи алкоголя, а также дополнительные возрастные ограничения.
В некоторых регионах могут быть введены запреты на продажу алкоголя в определенные дни, такие как праздники или дни траура. Это делается для того, чтобы минимизировать потребление алкоголя в моменты, когда общество особенно чувствительно к таким вопросам.
Также существуют регионы, где продажа алкоголя может быть запрещена вблизи образовательных учреждений, спортивных объектов или медицинских учреждений. Эти меры направлены на защиту молодежи и несовершеннолетних от воздействия алкоголя в местах, где они могут находиться.
Важно отметить, что такие региональные ограничения могут меняться, и поэтому гражданам рекомендуется быть в курсе актуальных законов и правил, действующих в их местности. Это поможет избежать неприятных ситуаций, связанных с нарушением законодательства о продаже и потреблении алкогольных напитков.
Где и когда запрещена продажа
В России существуют строгие ограничения на продажу алкогольных напитков в определённых местах и в определённое время. Эти меры направлены на защиту здоровья граждан, особенно молодежи, и на снижение уровня алкоголизма в обществе.
Запрет на продажу алкоголя действует в общественных местах, таких как школы, детские сады, больницы и другие учреждения, где находятся несовершеннолетние. Также запрещена продажа спиртных напитков вблизи спортивных и культурных мероприятий, что связано с желанием создать безопасную и здоровую атмосферу для всех участников.
Кроме того, в России установлены временные ограничения на продажу алкоголя. В большинстве регионов страны алкоголь нельзя продавать с 22:00 до 10:00. Эти ограничения направлены на снижение потребления алкоголя в вечернее и ночное время, когда риск злоупотребления возрастает.
В некоторых регионах действуют дополнительные дни запрета на продажу алкоголя, например, в дни траура или на определённые праздники. Это решение принимается местными властями и направлено на поддержание общественного порядка и уважение к традициям.
Также стоит отметить, что продажа алкоголя через интернет в России регулируется отдельными законами. На данный момент, продажа алкогольных напитков онлайн разрешена только для лиц старше 18 лет, и при этом необходимо удостовериться в возрасте покупателя. Это требование направлено на предотвращение доступа несовершеннолетних к спиртным напиткам.
Таким образом, законодательство России устанавливает ряд ограничений на продажу алкоголя, чтобы защитить здоровье молодежи и снизить уровень алкоголизма в обществе. Эти меры включают территориальные, временные и возрастные ограничения, что делает покупку и потребление алкоголя более контролируемыми и безопасными.
Законодательство
Законодательство в России строго регулирует вопросы, касающиеся продажи и употребления алкогольных напитков. Основным документом, определяющим правила, является Федеральный закон «О государственном регулировании производства и оборота этилового спирта, алкогольной и спиртосодержащей продукции». Согласно этому закону, продажа алкогольных напитков разрешена только лицам, достигшим 18 лет. Это правило направлено на защиту молодежи от негативных последствий употребления алкоголя.
Несмотря на это, существуют случаи, когда лица младше 18 лет могут приобрести алкоголь. Например, в некоторых регионах страны допускается продажа безалкогольного пива, которое содержит минимальное количество алкоголя. Однако такие исключения не являются общепринятыми и зависят от местного законодательства.
Нарушение закона о продаже алкоголя несовершеннолетним влечет за собой серьезные последствия. Продавцы, которые не соблюдают возрастные ограничения, могут быть привлечены к административной ответственности, что включает в себя штрафы и временное приостановление лицензии на продажу алкогольной продукции. Кроме того, такие действия могут привести к уголовной ответственности в случае систематических нарушений.
В последнее время в обществе активно обсуждаются возможные изменения в законодательстве, касающиеся возраста, с которого разрешено употребление алкоголя. Некоторые эксперты предлагают повысить возрастной порог до 21 года, ссылаясь на исследования, которые показывают, что молодые люди в этом возрасте более осознанно подходят к вопросам здоровья и безопасности. Однако такие инициативы пока не нашли широкого отклика в законодательных кругах.
Важным аспектом является также контроль за соблюдением законодательства. В России действуют специальные органы, которые следят за соблюдением правил продажи алкоголя, включая проверки в магазинах и ресторанах. Это необходимо для того, чтобы минимизировать случаи продажи алкоголя несовершеннолетним и обеспечить защиту здоровья молодежи.
Ответственность
Ответственность за продажу алкоголя несовершеннолетним в России достаточно серьезная. Законодательство устанавливает строгие меры, направленные на защиту молодежи от негативных последствий употребления спиртных напитков. Продавцы, которые нарушают правила и реализуют алкоголь лицам, не достигшим 18 лет, могут столкнуться с различными санкциями.
Во-первых, за продажу алкоголя несовершеннолетним предусмотрены административные штрафы. Для физических лиц размер штрафа может варьироваться от 30 до 50 тысяч рублей, а для юридических лиц — от 300 до 500 тысяч рублей. Кроме того, в случае повторных нарушений штрафы могут увеличиваться, а также могут применяться другие меры, такие как приостановление деятельности торговой точки.
Во-вторых, в зависимости от обстоятельств, продавец может быть привлечен к уголовной ответственности. Если продажа алкоголя несовершеннолетнему привела к серьезным последствиям, например, к отравлению или другим травмам, это может повлечь за собой более серьезные наказания, включая лишение свободы.
Также стоит отметить, что ответственность лежит не только на продавцах, но и на владельцах торговых точек. Они обязаны следить за тем, чтобы их сотрудники соблюдали закон и не продавали алкоголь несовершеннолетним. В случае выявления нарушений, к ним могут быть применены меры вплоть до закрытия бизнеса.
Таким образом, законодательство России серьезно относится к вопросу продажи алкоголя несовершеннолетним, и за нарушение этих норм предусмотрены жесткие меры ответственности, что подчеркивает важность защиты молодежи от вредного воздействия алкоголя.
Основные моменты
Основные моменты, касающиеся покупки и употребления алкоголя, включают в себя несколько ключевых аспектов, которые важно учитывать. Во-первых, в России минимальный возраст для покупки алкогольных напитков установлен на уровне 18 лет. Это правило направлено на защиту молодежи от негативных последствий, связанных с ранним употреблением спиртного, включая риск развития зависимостей и других проблем со здоровьем.
Следует отметить, что закон не только ограничивает доступ несовершеннолетних к алкоголю, но и устанавливает строгие меры ответственности для продавцов, которые нарушают эти правила. Продавцы обязаны проверять документы, удостоверяющие личность покупателя, и в случае нарушения могут столкнуться с серьезными штрафами и другими санкциями.
Кроме того, важно понимать, что ограничения на продажу алкоголя не ограничиваются только возрастом. Существуют и временные ограничения, например, в некоторых регионах России продажа алкоголя может быть запрещена в определенные часы или дни, такие как праздники или дни траура. Это делается для снижения потребления алкоголя в общественных местах и обеспечения безопасности граждан.
Также стоит обратить внимание на то, что законодательство может варьироваться в зависимости от региона. В некоторых местах могут действовать дополнительные ограничения, касающиеся продажи алкоголя, что также стоит учитывать при планировании покупки.
В заключение, понимание основных моментов, связанных с законодательством о продаже и употреблении алкоголя, поможет не только избежать юридических проблем, но и осознанно подойти к вопросу потребления спиртных напитков, особенно среди молодежи.
Что нужно знать
При обсуждении вопроса о возрасте, с которого разрешено покупать и употреблять алкоголь, важно учитывать несколько ключевых моментов. Во-первых, согласно российскому законодательству, минимальный возраст для покупки алкогольных напитков составляет 18 лет. Это правило направлено на защиту молодежи от негативных последствий, связанных с ранним употреблением алкоголя, таких как зависимость и проблемы со здоровьем.
Во-вторых, стоит отметить, что алкоголь может оказывать серьезное влияние на развивающийся организм подростка. Исследования показывают, что употребление спиртного в молодом возрасте может привести к нарушениям в работе мозга, ухудшению памяти и концентрации, а также к проблемам с психическим здоровьем. Поэтому важно, чтобы молодежь осознавала риски, связанные с алкоголем, и принимала осознанные решения.
Кроме того, существуют и социальные аспекты, связанные с употреблением алкоголя. Влияние на поведение, риск участия в опасных ситуациях и возможность возникновения конфликтов — все это также должно учитываться при обсуждении темы алкоголя среди молодежи. Образование и информирование о вреде алкоголя, а также о правовых нормах, касающихся его продажи и употребления, играют важную роль в формировании ответственного отношения к спиртным напиткам.
Наконец, важно помнить, что соблюдение законодательства — это не только вопрос правовой ответственности, но и заботы о здоровье и безопасности молодежи. Поэтому родителям и обществу в целом следует активно участвовать в обсуждении этой темы, помогая подросткам делать правильный выбор.
С какой целью введено ограничение
Ограничения на продажу и употребление алкоголя несовершеннолетними введены с целью защиты здоровья молодежи и снижения уровня алкоголизма в обществе. Подростковый возраст — это период, когда организм человека активно развивается, и влияние алкоголя может оказать серьезное негативное воздействие на физическое и психическое здоровье. Исследования показывают, что раннее употребление алкоголя связано с повышенным риском развития зависимости, а также с различными социальными и психологическими проблемами.
Кроме того, ограничения направлены на снижение числа дорожно-транспортных происшествий и правонарушений, связанных с употреблением алкоголя. Молодежь, не имеющая достаточного жизненного опыта и навыков принятия ответственных решений, может оказаться в опасных ситуациях под воздействием спиртных напитков. Таким образом, законодательство стремится создать более безопасную среду для подростков, позволяя им развиваться и формироваться без негативного влияния алкоголя.
Также стоит отметить, что введение возрастных ограничений является частью более широкой государственной политики по профилактике алкоголизма и формированию здорового образа жизни среди молодежи. Это включает в себя образовательные программы, направленные на информирование о вреде алкоголя и формирование ответственного отношения к его употреблению. В конечном итоге, цель этих ограничений — создать общество, в котором молодежь будет иметь возможность развиваться, не сталкиваясь с негативными последствиями раннего употребления алкоголя.
Нормативное регулирование
Нормативное регулирование в сфере продажи и употребления алкоголя в России основывается на нескольких ключевых законодательных актах. Основным документом, регулирующим этот вопрос, является Федеральный закон от 22 ноября 1995 года № 171-ФЗ «О государственном регулировании производства и оборота этилового спирта, алкогольной и спиртосодержащей продукции». Этот закон устанавливает возрастные ограничения на продажу алкоголя и определяет, что продажа алкогольной продукции разрешена только лицам, достигшим 18 лет.
Кроме того, существуют и другие нормативные акты, которые уточняют правила продажи и употребления алкоголя. Например, Кодекс об административных правонарушениях Российской Федерации содержит статьи, касающиеся ответственности за продажу алкоголя несовершеннолетним. В частности, за нарушение этого запрета предусмотрены штрафы как для продавцов, так и для организаций, осуществляющих продажу.
Также стоит отметить, что на уровне регионов могут вводиться дополнительные ограничения и правила, касающиеся продажи алкоголя. Это может включать как временные ограничения (например, запрет на продажу алкоголя в определенные часы), так и территориальные (например, запрет на продажу вблизи учебных заведений).
Таким образом, нормативное регулирование в области алкоголя в России направлено на защиту молодежи и снижение уровня алкоголизма в обществе. Законодательство постоянно обновляется и адаптируется к современным реалиям, что позволяет более эффективно контролировать оборот алкогольной продукции и защищать здоровье граждан.
Мнения о запрете
Существует множество мнений о запрете продажи алкоголя несовершеннолетним. Одни считают, что такие ограничения необходимы для защиты здоровья молодежи и снижения уровня алкоголизма среди подростков. Они утверждают, что алкоголь негативно влияет на развивающийся организм, может привести к зависимости и серьезным заболеваниям. Поддерживающие запрет также указывают на то, что раннее употребление алкоголя может стать причиной различных социальных проблем, таких как преступность, насилие и дорожно-транспортные происшествия.
С другой стороны, есть и те, кто выступает против жестких ограничений. Они считают, что запрет на продажу алкоголя несовершеннолетним не решает проблему, а лишь подталкивает молодежь к тайному употреблению спиртного. По их мнению, важно не запрещать, а обучать подростков ответственному отношению к алкоголю. Приверженцы этой точки зрения утверждают, что открытое обсуждение вопросов, связанных с алкоголем, и информирование молодежи о его последствиях могут быть более эффективными мерами, чем простое ограничение доступа.
Также стоит отметить, что мнения о запрете могут варьироваться в зависимости от культурных и социальных факторов. В некоторых странах, где культура потребления алкоголя более либеральна, молодежь может иметь более свободный доступ к спиртным напиткам, что не всегда приводит к негативным последствиям. В то же время, в странах с более строгими законами наблюдается меньший уровень алкоголизма среди молодежи.
Таким образом, вопрос о запрете продажи алкоголя несовершеннолетним остается открытым и требует дальнейшего обсуждения. Необходимо учитывать как медицинские, так и социальные аспекты, чтобы выработать наиболее эффективные меры по защите здоровья молодежи и снижению уровня алкоголизма.
Вред алкоголя для подростков
Алкоголь оказывает негативное воздействие на организм подростков, который все еще находится в стадии развития. Употребление спиртных напитков в юном возрасте может привести к серьезным последствиям как физического, так и психического характера.
Во-первых, алкоголь влияет на развитие мозга. Исследования показывают, что у подростков, регулярно употребляющих алкоголь, наблюдаются изменения в структуре и функции мозга, что может привести к ухудшению когнитивных функций, памяти и способности к обучению. Это особенно критично в период, когда мозг активно формируется, что происходит до 25 лет.
Во-вторых, алкоголь может способствовать возникновению различных зависимостей. Подростки, которые начинают пить в раннем возрасте, имеют более высокий риск развития алкоголизма в будущем. Это связано с тем, что у них формируется привычка к употреблению спиртного, и они могут не осознавать всех последствий, связанных с этой зависимостью.
Кроме того, употребление алкоголя в подростковом возрасте связано с повышенным риском совершения правонарушений и участия в опасных ситуациях. Под воздействием спиртного молодые люди могут принимать необдуманные решения, что может привести к травмам, авариям или другим негативным последствиям.
Не стоит забывать и о социальных аспектах. Подростки, употребляющие алкоголь, могут столкнуться с проблемами в общении, ухудшением отношений с родителями и сверстниками, а также с трудностями в учебе. Это может привести к изоляции и депрессии.
В целом, вред алкоголя для подростков очевиден. Он затрагивает не только здоровье, но и социальное, эмоциональное и психическое благополучие. Поэтому важно, чтобы родители и общество в целом принимали меры для предотвращения употребления алкоголя среди молодежи, создавая безопасную и поддерживающую среду для их развития.
Возрастные ограничения с точки зрения физиологии
Возрастные ограничения на употребление алкоголя имеют не только правовую, но и физиологическую основу. В организме подростка происходят активные процессы роста и развития, и алкоголь может негативно сказаться на этих процессах. Исследования показывают, что мозг человека продолжает развиваться до 25 лет, и употребление алкоголя в раннем возрасте может привести к серьезным последствиям, таким как ухудшение когнитивных функций, снижение памяти и способности к обучению.
Кроме того, алкоголь влияет на гормональный фон, что особенно критично в период полового созревания. Употребление спиртного может нарушить баланс гормонов, что в свою очередь может привести к различным проблемам, включая задержку роста и развитие психических расстройств. Подростки, которые начинают пить алкоголь в юном возрасте, чаще сталкиваются с зависимостями и проблемами с психическим здоровьем в будущем.
Физиологические последствия употребления алкоголя также включают риск развития заболеваний печени, сердечно-сосудистой системы и других органов. У подростков, чьи организмы еще не полностью сформированы, алкоголь может вызывать более серьезные повреждения, чем у взрослых. Это подчеркивает важность соблюдения возрастных ограничений на продажу и употребление алкоголя, чтобы защитить здоровье молодежи и предотвратить возможные негативные последствия.
Социальные аспекты потребления алкоголя среди молодежи
Потребление алкоголя среди молодежи является важной социальной темой, которая вызывает множество обсуждений и споров. В разных странах существуют различные законы и нормы, регулирующие возраст, с которого разрешено покупать и употреблять алкогольные напитки. Эти нормы часто определяются не только культурными традициями, но и научными исследованиями, касающимися влияния алкоголя на здоровье и развитие молодых людей.
Во многих странах, таких как США, возраст, с которого разрешено покупать алкоголь, составляет 21 год. Это решение было принято в 1984 году с целью снижения уровня дорожно-транспортных происшествий и других негативных последствий, связанных с употреблением алкоголя среди молодежи. В Европе, напротив, минимальный возраст для покупки алкоголя варьируется от 16 до 18 лет, в зависимости от страны. Например, в Германии и Франции молодежь может легально покупать пиво и вино с 16 лет, тогда как крепкие спиртные напитки разрешены с 18 лет.
Также включает влияние окружения и культурные традиции. В некоторых культурах алкоголь воспринимается как часть социальной жизни и праздников, что может способствовать более раннему началу употребления. В то же время, в других обществах алкоголь может быть табуирован, что приводит к его запретному интересу среди молодежи. Исследования показывают, что молодежь, растущая в семьях, где алкоголь употребляется умеренно и ответственно, менее склонна к злоупотреблению по сравнению с теми, кто наблюдает за чрезмерным употреблением алкоголя в своем окружении.
Кроме того, важно учитывать влияние медиа и рекламы на восприятие алкоголя молодежью. Реклама алкогольных напитков часто нацелена на молодежную аудиторию, создавая образ алкоголя как символа свободы, веселья и успеха. Это может способствовать формированию искаженного представления о том, что употребление алкоголя является нормой и необходимым элементом социальной жизни.
Также стоит отметить, что употребление алкоголя в раннем возрасте может иметь серьезные последствия для здоровья. Исследования показывают, что раннее начало употребления алкоголя связано с повышенным риском развития зависимостей, проблем с психическим здоровьем и негативными последствиями для физического состояния. Это подчеркивает важность просвещения молодежи о рисках, связанных с алкоголем, и необходимости ответственного подхода к его потреблению.
Таким образом, социальные аспекты потребления алкоголя среди молодежи являются многогранной темой, требующей комплексного подхода. Важно учитывать как законодательные нормы, так и культурные традиции, влияние окружения и медиа, а также последствия для здоровья. Образование и просвещение молодежи о безопасном употреблении алкоголя могут сыграть ключевую роль в формировании ответственного отношения к этому вопросу.
Вопрос-ответ
Можно ли в первый день 18 летия покупать алкоголь?
Общепринятый порядок продажи алкогольной продукции состоит в том, что только гражданам, достигшим 18 лет, разрешено ее приобретать. В случае, если продавцу возникают сомнения, он имеет право запросить у покупателя документ, подтверждающий его возраст.
Почему водку продают с 21?
Это связано с вредом алкоголя для здоровья, социальной опасностью людей, находящихся под действием алкоголя, в некоторых случаях – с религиозными соображениями. В Российской Федерации ограничения на розничную продажу алкоголя установлены Федеральным законом от 22. 11. 1995 N 171-ФЗ.
Что можно с 18 а что с 21?
Права и возможности совершеннолетних С 18 лет можно голосовать на выборах, быть кандидатом в депутаты муниципального образования, участвовать в референдумах. А вот кандидату на выборы в президента должно быть не менее 35 лет, кандидату в депутаты Государственной думы — не менее 21 года.
Какой алкоголь можно покупать с 18 лет 2024?
Возможное изменение обсуждается законодателями, однако по действующему 171-му Федеральному закону от 1995 года, включая все поправки, вступившие в силу в марте, в 2024 году можно свободно покупать спиртное с 18 лет. Исключением не являются и крепкие напитки, такие как водка, виски или самогон.
Советы
СОВЕТ №1
Изучите законы своей страны или региона. Возраст, с которого разрешено покупать и употреблять алкоголь, может значительно различаться в зависимости от местного законодательства. Убедитесь, что вы знаете свои права и обязанности.
СОВЕТ №2
Обратите внимание на влияние алкоголя на здоровье. Даже если вам уже разрешено пить, важно понимать, как алкоголь может повлиять на ваше физическое и психическое состояние, особенно в молодом возрасте.
СОВЕТ №3
Пробуйте альтернативы алкоголю. Если вы еще не достигли возраста, когда можно легально пить, рассмотрите безалкогольные напитки и коктейли. Это поможет вам наслаждаться временем с друзьями без риска нарушения закона.
СОВЕТ №4
Обсуждайте алкогольные привычки с родителями или взрослыми. Открытый диалог о потреблении алкоголя может помочь вам лучше понять его последствия и сформировать ответственный подход к его употреблению в будущем.
















